ÓªÒµ×Éѯ
Öйú£º
Email: marketing@medicilon.com.cn
ÓªÒµ×ÉѯרÏߣº400-780-8018
£¨½öÏÞЧÀÍ×Éѯ£¬ÆäËûÊÂÒËÇ벦´ò´¨É³×ܲ¿µç»°£©
´¨É³×ܲ¿µç»°: +86 (21) 5859-1500
ÍâÑó£º
+1(781)535-1428(U.S.)
0044 7790 816 954 (Europe)
Email:marketing@medicilon.com



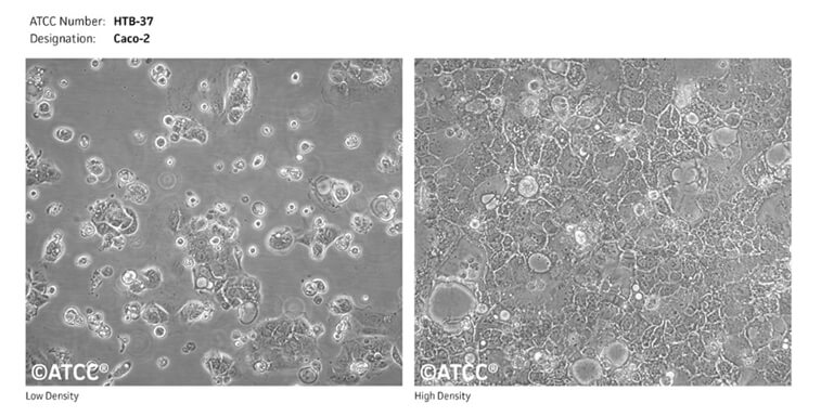
Caco-2ÉøÍ¸ÐÔ²âÊÔ£¨Caco-2 Permeability Assay£©ÊÇÒ»ÖÖ³£ÓõÄÌåÍâʵÑéÒªÁ죬ÓÃÓÚÆÀ¹À»¯ºÏÎïÔÚÈËÌ峦µÀÖеÄÎüÊÕˮƽºÍÉøÍ¸ÐÔ¡£Caco-2ϸ°ûÊÇÒ»ÖÖÈËÀà½á³¦°©Ï¸°ûϵ£¬³£ÓÃÓÚÄ£ÄâÈËÌåС³¦ÉÏÆ¤Ï¸°û²ãµÄÌØÕ÷ºÍ¹¦Ð§¡£Õâ¸öϸ°ûϵÊ״δÓ1977ÄêÒ»Ãû»¼Óн᳦ÏÙ°©µÄÄÐÐÔµÄÖ×ÁöÖÐÊèÉ¢³öÀ´£¬±»ÃüÃûΪCaco-2¡£

Caco-2ϸ°û£¨ÈªÔ´: ATCC£©
Caco-2ÉøÍ¸ÐÔ²âÊÔ£¨Caco-2 Permeability Assay£©ÊÇÒ»ÖÖ³£ÓõÄÌåÍâʵÑéÒªÁ죬ÓÃÓÚÆÀ¹À»¯ºÏÎïÔÚÈËÌ峦µÀÖеÄÎüÊÕˮƽºÍÉøÍ¸ÐÔ¡£µ±Ò©Îïͨ¹ý¿Ú·þ;¾¶¸øÓèʱ£¬Ò©ÎïµÄÎüÊÕˮƽºÍÉøÍ¸ÐÔÊÇÖ÷ÒªµÄÒ©´ú¶¯Á¦Ñ§²ÎÊý¡£
»ùÓÚÈËÀà½á³¦°©Ï¸°ûÖêCaco-2µÄÌØÕ÷£¬¿ÉÒÔͨ¹ýÄ£ÄâС³¦ÉÏÆ¤Ï¸°û²ãµÄÇéÐΣ¬À´Õ¹Íû»¯ºÏÎïµÄ¿Ú·þÉúÎïʹÓöȡ£ÔÚCaco-2ϸ°û×÷ÓýÔÚÉøÍ¸¾Û̼Ëáõ¥Ä¤ÉÏʱ£¬Äܹ»ÐγÉÒ»¸öµ¥²ãÉÏÆ¤Ï¸°û£¬¿ÉÒÔÓÃÓÚÄ£ÄâÈ˳¦ÉÏÆ¤Ï¸°ûµÄµÄÐÎ̬£¬Ðγɶ¥Ä¤²à(apical,AP)ºÍ»ùµ×Íâ²à(basolateral,BL)½á¹¹£¬ÄÜÔÚ¶¥Ä¤Íâò·Ö½â³öË¢×´ÔµÈÞë¡£ÓëPAMPA£¨Æ½ÐÐÈ˹¤Ä¤ÉøÍ¸ÊÔÑ飩Ïà±È£¬Caco-2ϸ°û¾ßÓÐͨÁ¿½ÏµÍ£¬±¾Ç®½Ï¸ßµÄÌØµã£¬È»ºóCaco-2ϸ°û¿ÉÒÔͬʱ¿ìËÙɸѡ´óÅúÁ¿Ò©ÎËùÐèÒªµÄÒ©Á¿½ÏÉÙ£¬Ïà±È¶¯ÎïÄ£×Ó¶øÑÔ£¬ÊÇÏà¶Ô¾¼ÃʡʱµÄÑ¡Ôñ¡£²¢ÇÒ£¬coca-2¿ÉÒÔ±í´ï³¦µÀתÔËÌåºÍø£¬ÓпÉÄÜÕ¹Íû×Ô¶¯×ªÔ˺ÍÓжàÖÖתÔËÌåµÄÒ©ÎïÏ໥×÷Óá£
ÍÆ¼öÔĶÁ£º ʲôÊÇCaco-2ϸ°ûÄ£×Ó£¿
(1) Ê×ÏÈǰ´¦Öóͷ£ÐèÒª½«Caco-2ϸ°û×÷ÓýÔÚ¶à¿×͸Ã÷µÄ×÷ÓýĤÉÏ£¬ÐγÉÒ»¸öϸ°ûµ¥²ã£¬Í¨³£ÐèÒª14-28Ìì¡£ÔÚ×÷ÓýÀú³ÌÖУ¬È·±£Caco-2ϸ°ûµÖ´ïÒ»¶¨µÄ·Ö½âˮƽ£¬ÒÔ¸üºÃµØÄ£Ä⳦ÉÏÆ¤Ï¸°û²ã¡£
(2) ½«´ý²âµÄ»¯ºÏÎï¼ÓÈëµ½HBSSÖУ¬ÈÃÆäÓëCaco-2ϸ°û½Ó´¥¡£
(3) ÈÃϸ°ûÔÚ·õÓýÏäÖÐÒԺ㶨µÄζȡ¢Êª¶ÈºÍCO2Ũ¶ÈÏÂ×÷ÓýÒ»¶Îʱ¼ä£¬Í¨³£Îª2Сʱ¡£
(4) ÔÚ·õÓý¿¢Êº󣬻®·ÖÍøÂçÉϲãÒº£¨ÔÚϸ°ûÉÏ·½£©ºÍϲãÒº£¨Í¨Ï꾡°û²ã½øÈë¿×϶ĤÏ·½£©¡£
ʹÓúÏÊʵÄÊÖÒÕ£¬ÀýÈç¸ßЧҺÏàÉ«Æ×·¨£¨HPLC£©»òÒºÏàÖÊÆ×ÁªÓ÷¨£¨LC-MS£©£¬ÕÉÁ¿ÑùÆ·Öл¯ºÏÎïµÄŨ¶È¡£
(5) ͨ¹ý½ÏÁ¿ÉϲãÒººÍϲãÒºÖл¯ºÏÎïµÄŨ¶È£¬ÅÌË㻯ºÏÎïµÄ͸¹ýÂÊ¡¢ÎüÊÕËÙÂÊÒÔ¼°ÆäËûÏà¹Ø²ÎÊý¡£Ò©ÎïÔÚ Caco-£²Ï¸°ûµ¥²ãÄ£×ÓÖеıí¹ÛÉøÍ¸ÏµÊý£¨apparent permeability coefficient £¬Papp £©µÄÅÌËã £ºPapp=dCr/dt¡ÁVr¡Á1/A ¡Á1/C£° ¡£ Pappµ¥Î»Îª cm/s ¡£
Caco-2ϸ°ûÉøÍ¸ÐÔÊÔÑé¿ÉÒÔÌṩÓйػ¯ºÏÎïÔÚÄ£Ä⳦µÀÌõ¼þϵÄÎüÊÕÌØÕ÷µÄÖ÷ÒªÐÅÏ¢¡£Í¨¹ýÕÉÁ¿»¯ºÏÎïͨÏ꾡°û²ãµÄÄÜÁ¦£¬ÆÀ¹ÀÆä±»ÎüÊÕµ½Ñ»·ÏµÍ³ÖеÄDZÁ¦£¬²¢Õ¹ÍûÆäÔÚÌåÄÚµÄÒ©´ú¶¯Á¦Ñ§ÐÐΪ¡£Õâ¹ØÓÚÒ©ÎïÑз¢ºÍ¿Ú·þÒ©ÎïµÄÉúÎïʹÓÃ¶ÈÆÀ¹ÀºÜÊÇÒªº¦¡£¿ÉÊÇÈÔÈ»ÐèÒª×¢ÖØ£¬Caco-2ϸ°ûÉøÍ¸ÐÔÊÔÑéÊÇÒ»ÖÖÌåÍâÒªÁ죬ËäÈ»Äܹ»ÌṩÓÐÓõIJο¼Êý¾Ý£¬µ«ÔÚÏÖʵӦÓÃÖÐÈÔÐèÒªÁ¬ÏµÆäËûÒòËØ×ÛºÏÆÀ¹À»¯ºÏÎïµÄÎüÊÕÐÔÄܺÍÉøÍ¸ÐÔ¡£
×ðÁú¿Ê±ÔÚÒ©´ú¶¯Á¦Ñ§ÌåÍâÑо¿·½ÃæÓÐÁè¼ÝÊ®¾ÅÄêµÄÏà¹ØÂÄÀú£¬¿ÉÌṩÌåÍâÑо¿°üÀ¨´úлÎȹÌÐÔ¡¢P450ÓÕµ¼ºÍÒÖÖÆ¡¢´úл;¾¶Ñо¿¡¢´úл²úÆ·ÅжϵÈÑо¿ÏîÄ¿£¬Éæ¼°µÄ¶¯ÎïÓдóÊó¡¢Ð¡Êó¡¢Íᢹ·¡¢ºï×ӵȡ£Ã¿ÄêÍê³ÉÁè¼Ý20¸öÐÂÒ©ÁÙ´²Ç°DMPKÉ걨Ñо¿£¬Ã¿Äê´óÓÚ2000¸ö»¯ºÏÎïµÄÌåÄÚPKɸѡ¡£×÷Ϊһվʽ×ÛºÏЧÀÍÆ½Ì¨£¬×ðÁú¿Ê±ÖÂÁ¦ÓÚһֱ̽Ë÷ÏȽøµÄÊÖÒÕºÍÒªÁ죬ÒÔÖª×ã¿Í»§ÔÚ̽ÌÖÐÂÒ©Ñз¢µÄÐèÇó£¬Ò»Á¬Ìṩ¸ü¸ßЧ¡¢¸ßÐԼ۱ȵÄÑз¢Ð§ÀÍÖúÁ¦¿Í»§¼ÓËÙÐÂÒ©Ñз¢Àú³Ì¡£¸³ÄÜÈ«ÇòÏàÖúͬ°é£¬¾ÛÁ¦ÖйúÁ¢Ò죬ΪÈËÀ࿵½¡Ð¢Ë³ÊµÁ¦£¡
1. Xiu-wei Yang, Xiao-da Yang, Ying Wang, Lian Ma, Yue Zhang, Xiao-gai Yang, Kui Wang. Establishment of Caco-2 cell monolayer model and standard operation procedure for assessing intestinal absorption of chemical components of traditional Chinese medicine. Journal of Chinese Integrative Medicine, 2007, 5(6): 634-641.
2. Íõɯ, Áõ˹ç÷, ¶¡ÅôÃô, ÅÓÔÂóÏ, ÌÕÖ¾, & ÍõÈç·å. (2020). ÌåÍâÄ£×ÓÔÚÖÐÒ©´úлÑо¿ÖеÄÓ¦ÓÃ. PROGRESS IN PHARMACEUTICAL SCIENCES, 44(2), 119-132.
Ïà¹ØÐÂÎÅ