1. 多柔比星 (DOX)
多柔比星 (DOX) 是一种抗生素,自 1960 年月以来已被普遍用作化疗剂。多柔比星是一种高效的蒽环类化疗药物,可有用治疗多种恶性肿瘤,但美中缺乏的是会在许多受试者中引起心脏毒性。
2. 纳米金刚石 (ND)
纳米金刚石 (ND) 是最有前途的化学疗法载体之一,可是,它们往往会在贮存时或者当袒露于 pH 值或离子强度的稍微转变时爆发群集效应。
3. 纳米金刚石和多柔比星的化合物(ND-DOX)
作为一种有用且普遍使用的化疗剂,多柔比星在临床应用中因剂量毒性而影响使用规模,包括累积的心脏毒性和骨髓抑制。 低剂量或缓慢释放多柔比星可以预防此类副反应,从而实现恒久化疗。 由于缺乏特异性和靶向递送,纳米药物递送系统可用作克仰药性。 纳米金刚石具有高的细胞吸收率和低的细胞毒性,别的,多柔比星可以在碱性条件下通过物理吸附可逆地负载到纳米金刚石上。 因此,纳米金刚石是设计高效药物递送乃阶载体和治疗系统的有前途的战略。
爆发耐药和药物外排是癌症治疗的两个主要限制因素。纳米金刚石递送系统可以阻止运输卵白的消耗,并保存足够量的药物袒露于疾病部位。
纳米金刚石和多柔比星的化合物(NDX)可通过降低早期殒命率和抑制肿瘤生长来提高治疗效果,而单独给药则没有显着的疗效,别的,没有显着的骨髓抑制。 与小鼠肝肿瘤和乳腺癌模子的通例多柔比星疗法相比,NDX 改善细胞凋亡和肿瘤生长抑制,同时降低毒性。 NDX 递送系统可抑制乳腺癌、转移性激素难治性前线腺癌的肺转移,并有助于镌汰获得化疗疗效所需的多柔比星剂量。 纳米金刚石给药体外和体内模子的综合评价批注,ND-药物可以延伸药物释放,加速肿瘤细胞凋亡,镌汰骨髓抑制等全身副作用。

Characterization of ND, DOX and NDX complex
4. 使用Na?ve beagle dog 评估纳米金刚石-多柔比星复合物的清静性
在这项研究中,研究职员使用Na?ve Beagle Dog来评估纳米金刚石药物递送平台递送 DOX 的清静性。 第 1-3 组的雄性幼龄Na?ve Beagle Dog划分静脉注射 DOX、ND 和 NDX。 第 4 组雌性幼龄Na?ve Beagle Dog通过静脉注射 NDX。 第 5 组雄性幼龄Na?ve Beagle Dog通过肝门静脉注射NDX。 所有治疗组均以 3.648 mg/kg 的剂量水平给药。 给药后,动物随后进入视察阶段,以评估其康健状态的可见转变。 同时,在给药前后收罗血液和尿液举行综合剖析。 效果批注单独使用多柔比星会引起严重的损伤,而 NDX 可显着减轻多柔比星的毒性。
Na?ve beagle dog 实验操作
此项动物实验是与上海尊龙凯时
临床前研究平台组联合举行的。 13 只 Na?ve Beagle Dog分为 5 组,单次静脉注射(IV)给予 1 mg/mL 多柔比星(第 1 组)、1 mg/mL 纳米金刚石(第 2 组)、 NDX 混悬液(第 3-5 组)。无菌水 第 1-4 组静脉注射,第5组肝门静脉注射。
第 5 组的动物接受了 HPV 插管手术,并在举行研究之前恢复几天。 凭证个体体重给予每只试验动物的剂量为3.648mg/kg。 给药当天丈量体重并纪录。在接下来的五天里,动物可以自由饮水,但在研究竣事时收罗血样之前禁食住宿(至少 10 小时)。
组织病理学剖析
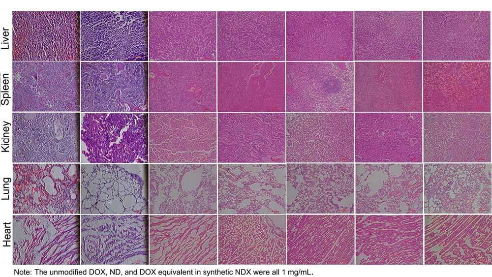
对用多柔比星、纳米金刚石和 NDX 处置惩罚的Na?ve Beagle Dog举行组织病理学剖析,并对肝脏、脾脏、肾脏、肺和心脏的组织举行苏木精和伊红染色。 研究职员发明使用静脉注射的多柔比星和 NDX 组之间保存显着差别。
肝脏组织病理学剖析批注,用 DOX 治疗的Na?ve Beagle Dog有更大的损伤。 死的Na?ve Beagle Dog肝脏结构杂乱,有出血,肝细胞显着变性,有炎症细胞。用多柔比星治疗的存活的Na?ve Beagle Dog在肝脏中也有变性和炎症细胞。NDXHPV组也有一些稍微的退化和结构杂乱。 ND-IV 和 NDX-IV 组的肝脏结构转变稍微或险些正常。 脾脏方面,用多柔比星处置惩罚的Na?ve Beagle Dog泛起结构杂乱,用纳米金刚石处置惩罚的Na?ve Beagle Dog基本上是红髓,变性显着。 别的,用 NDX-HPV 治疗的Na?ve Beagle Dog体现出脾脏血窦扩张和退化。 NDX-IV组的脾脏转变稍微。
肾脏组织切片显示,用多柔比星治疗的Na?ve Beagle Dog显示血管有血瘀和炎症细胞。 用纳米金刚石处置惩罚过的Na?ve Beagle Dog的肾脏泛起轻度至中度变性,间质纤维泛起增生。 NDX-HPV组的小管不规则。 在用 NDX-IV 治疗的Na?ve Beagle Dog的肾脏中仅视察到细小转变。
肺部组织切片进一步显示,用DOX治疗的Na?ve Beagle Dog肺泡内有大宗渗透物,肺毛细血管内有出血和淤滞。 NDXHPV组肺泡壁有炎性变性,肺泡上皮增生,而ND-IV和NDXIV组Na?ve Beagle Dog肺仅有轻度病变。
用NDX-IV治疗的Na?ve Beagle Dog的心脏未见显着异常,而用DOX-IV、ND-IV和NDX-HPV治疗的Na?ve Beagle Dog显示心肌细胞变薄、间质水肿、心肌炎的证据。 总之,基于组织形态学的效果批注,关于用 NDX-IV 治疗的Na?ve Beagle Dog,每个器官的病变都是稍微的。 其他治疗组的肝、脾、肾、肺、心脏均有较显着的一定水平的损伤。

Histopathology of dogs treated with ND, NDX and DOX. Representative
血液学剖析
血液学剖析批注,ND-IV-M、NDX-IV-M、NDX-IV-F 和 NDX-HPV-M 不会引起白细胞、血小板计数、中性粒细胞和淋巴细胞的显着转变。 同时,纳米金刚石或 NDX 不会引起亚急性炎症。 平均红细胞血红卵白清静均红细胞血红卵白浓度剖析批注,DOX、ND 和 NDX 组在正惯例模内险些没有波动。 这些效果批注,在纳米金刚石和 NDX 组中,IV 和 HPV 注射均没有显着的血细胞完全破损迹象。

Complete hematology profiles of dogs treated with ND, NDX and DOX.
尿液剖析
所有Na?ve Beagle Dog的尿液样本在给药前后举行了测试。 尿液pH值是肾脏调理酸碱平衡的指标。 数据显示,尿液 pH 值和尿液比重在给药前后没有显着波动。 但NDXM组尿卵白显着升高,提醒肾炎爆发。 注射纳米金刚石溶液36小时和60小时后Na?ve Beagle Dog的尿液体现出相同的转变趋势。 热量释放峰面积随时间增添批注更多的 ND 被倾轧。 更主要的是,研究职员通过透射电子显微镜(TEM)视察了纳米金刚石的颗粒,这证实了纳米金刚石可以随尿液倾轧。

Urinalysis analysis
总结
虽然多柔比星 (DOX) 是治疗癌症最常见的化疗药物之一,但由于剂量相关的毒性,必需审慎治理 DOX 的使用。据报道,与 DOX (NDX) 连系的纳米金刚石 (ND) 药物递送系统可增强小鼠癌症模子的治疗效果并削弱毒性。别的,普遍的生物相容性研究批注,非人类灵长类动物似乎对 ND 具有优异的耐受性。在NDX临床转化之前,有须要验证ND在大型哺乳动物中的清静性。大型动物的纳米药物清静性研究并不常见,这项事情代表了将早期希望毗连光临床评估的要害里程碑。在此,NDs 作为药物运送平台的清静性在 Na?ve Beagle Dog中举行了评估。该研究使用 DOX、ND、和 NDX 在双性别动物模子中使用静脉 (IV) 注射和肝门静脉 (HPV) 注射要领。一连 5 天监测Na?ve Beagle Dog的康健表型转变。获得的血液和尿液用于临床病理学研究。效果批注,ND 给药平台显着减轻了 Na?ve Beagle Dog模子的 DOX 毒性。本研究为大型动物水平的 NDX 治疗的临床前清静性评估提供指导。
本研究综合评估了使用 DOX、ND 和 NDX 处置惩罚的双性别Na?ve Beagle Dog模子。 别的,验证了同性别Na?ve Beagle Dog之间的 HPV 和 IV 注射。 差别给药处置惩罚的配合研究效果批注,多柔比星单独使用会对Na?ve Beagle Dog的肝脏、脾脏、肺和肾脏器官造成损害。 组织形态学效果批注,NDX-IV组没有显着的器官损伤。 NDX-HPV 组通过组织形态学和血液剖析批注对肝脏和脾脏有稍微但可视察到的副作用。 别的,想法在尿液中检测到 ND,这批注其代谢途径可能是通过泌尿系统。 这些研究为 NDX 治疗的临床前清静性评估提供了主要基础。 为癌症患者又提供了一种新的有前途的临床替换计划。
参考文献:
[1] Raven El Khoury , et al. Demonstration of doxorubicin's cardiotoxicity and screening using a 3D bioprinted spheroidal droplet-based system. RSC Adv. 2023 Mar 13;13(12):8338-8351. doi: 10.1039/d3ra00421j. eCollection 2023 Mar 8.
[2] Moustafa S Ali, et al. Towards more efficient inhalable chemotherapy: Fabrication of nanodiamonds-releasing microspheres. Int J Pharm. 2022 Oct 15;626:122169. doi: 10.1016/j.ijpharm.2022.122169.
[3] Liping Wang, et al. Safety evaluation of nanodiamond-doxorubicin complexes in a Na?ve Beagle canine model using hematologic, histological, and urine analysis. Nano Research. 2022.15: 3356–3366.
相关推荐:

尊龙凯时药物清静性评价效劳
基于国际认证的AAALAC质量标准和依从国际、海内GLP规范的药物清静性评价质量治理系统。自2008年以来,我们一连对标国际水准,高质量的完成GLP的清静性评价效劳,建设了恒久的品牌效应。尊龙凯时可以开展涵盖多毒性终点的系统评价效劳,并拥有国际认可的病理学研究支持尊龙凯时清静性评价研究。

尊龙凯时药代动力学效劳
尊龙凯时药代动力学实验室已经通过NMPA的GLP认证,实验研究遵照ICH、NMPA和FDA的指导原则,可以凭证客户需求设计并开展体内、体外药代动力学试验,为客户提供一整套药代动力学评价和优化效劳。

尊龙凯时临床病理研究效劳
尊龙凯时临床病理室为隶属于病理研究部的GLP医学磨练实验室;实验室主要认真检测多种动物生物化学、血液学、凝血、尿液剖析、尿液沉渣镜检、淋巴细胞分型、体外溶血、骨髓涂片镜检以及动物体检等项目,为动物试验提供准确科学的磨练依据。