×ðÁú¿Ê±ÁÙ´²Ç°ÑÛ¿ÆÑо¿Æ½Ì¨
×ðÁú¿Ê±ÁÙ´²Ç°ÑÛ¿ÆÑо¿Æ½Ì¨ÜöÝÍÁËÏȽøµÄ¸øÒ©ÊÖÒÕºÍÆÊÎöÊֶΣ¬ÓÅÒìµÄÒÇÆ÷×°±¸ÒÔ¼°ÂÄÀú¸»ºñµÄÑз¢ÍŶӣ¬Îª±£´æÑÛ¿ÆÒ©Î↑·¢ÐèÇóµÄ¿Í»§ÌṩÓÅÖʸßЧµÄÊÔÑéÑо¿Ð§ÀÍÒÔ¼°×¨ÒµµÄ×¢²áÉ걨֧³ÖºÍÏîÄ¿ÖÎÀíЧÀÍ¡£

1 ÌØÊâµÄÑÛ²¿ÇòÄÚ¸øÒ©ÊÖÒÕ
×ðÁú¿Ê±ÁÙ´²Ç°ÑÛ¿ÆÑо¿Æ½Ì¨Å䱸ÓÐÏȽøµÄÑÛ¿ÆÊÖÊõÏÔ΢¾µ£¬³ýÁËͨÀýµÄµÎÑÛ£¬ÑÛ¸à¸øÒ©Í⣬»¹¿ÉÒÔʵÏÖ¶ÔÍᢹ·¡¢Ð¡ÐÍÖí¼°·ÇÈËÁ鳤ÀàµÈ¶¯ÎïÖÖÊôʵÏÖÆæÒìµÄϸÄå¸øÒ©¡£ÎÒÃÇÆæÒìµÄ¸øÒ©·½·¨°üÀ¨£º
ÊÓÍøÄ¤ÏÂ×¢É䣻
ÂöÂçĤעÉ䣻
²£Á§ÌåÄÚ×¢Éä¡£

2 ÍêÉÆµÄÒÇÆ÷¼ì²âϵͳ
ÑÛ¿ÆÒ©ÎïµÄÑо¿¼°ÁÙ´²Ç°ÆÀ¼ÛµÄÖØµãºÍÄѵãÔÚÓÚʹÓÃÊʵ±µÄ×°±¸ºÍÒÇÆ÷¶ÔʵÑ鶯ÎïµÄÑÛ²¿¾ÙÐÐϸÄ廯µÄ²Ù×÷ºÍ¼ì²â¡£×ðÁú¿Ê±ÑÛ¿ÆÑо¿ÍŶÓʹÓöàÄêµÄ¸»ºñʵ¼ùÂÄÀúºÍÏȽø×°±¸£¬½â¾ö¿Í»§¹ØÓÚÑÛ¿ÆÑо¿µÄÖÖÖÖÖØ´óÎÊÌ⣬רעϸ½Ú£¬°Ñ¿ØÖÊÁ¿£¬Îª¿Í»§ÌṩÎȹÌÓÅÖʵÄÑо¿Ð§ÀÍ¡£
º£µÂ±¤¼¤¹âÑÛ¿ÆÕï¶ÏÒÇ
SPECTRALIS?HRA + OCT

SPECTRALIS?HRA + OCTÊǾßÓÐ×îпÉÉý¼¶Ä£¿éÉè¼ÆµÄÑۿƳÉÏñƽ̨¡£ÎÒÃÇʹÓøÃϵͳ¿ÉÒÔ×ÊÖú¿Í»§Íê³ÉʵÑ鶯ÎïµÄÑÛµ×Ó«¹âѪ¹ÜÔìÓ°ºÍ¹âѧÏà¹Ø¶Ï²ãɨÃè¡£¸Ãϵͳ¿ÉÒÔÍê³ÉµÄÏêϸ¼ì²âÏîÄ¿ÓУº
ºìÍâ·øÉäͨË×Ñ۵׳ÉÏñ
ÎÞºìÍâRFÑ۵׳ÉÏñ
ÑÛµ×Ó«¹âÔìÓ°£¨FFA£©
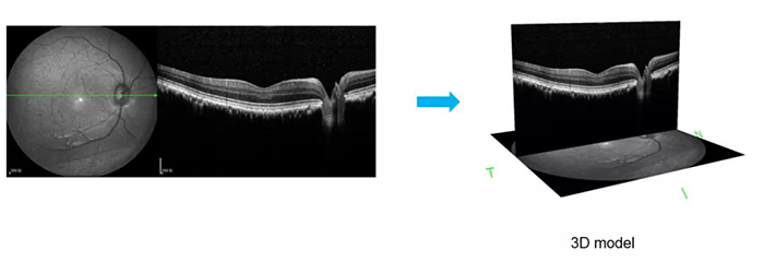
¹âѧÏà¹Ø¶Ï²ãɨÃ裨OCT£©
С¶¯ÎïÑۿƳÉÏñ

¡÷ºïË«ÑÛÑÛµ×ÕÕÏà

¡÷²î±ðʱÆÚµÄÑÛµ×Ó«¹âÔìÓ°£¨FA£©

¡÷ºïÑ۵Ĺâѧ¶Ï²ãÏà¹ØÉ¨Ã裨OCT£©
ÂÞÀ¼ÑÛµçÐÄÀíÕï¶Ïϵͳ
RETI-port/scan 21

¸ÃϵͳӦÓÃÓÚ¼ì²âÑۿƵçÐÄÀíÏîÄ¿£¬ÀýÈçÊÓÍøÄ¤µçͼ£¨ERG£©¡¢ÊÓ¾õÓÕ·¢µç루VEP£©¡¢ÑÛµçͼ£¨EOG£©µÈ¡£

¡÷ÑÛµçÐÄÀíÏîÄ¿²¿·ÖʵÑéЧ¹ûչʾ
ÑÛµ×ÕÕÏàÒÇÆ÷×°±¸
£¨²ÊÉ«ÑÛµ×ÕÕÏࣩ

ÆäËûÑÛ¿ÆÒÇÆ÷

×ðÁú¿Ê±ÍêÉÆµÄÑÛ²¿¼ì²âϵͳ»¹°üÀ¨ÉèÖÃÊýÂëÏà»úϵͳµÄÁÑ϶µÆ£¬ÑÛѹ¼Æ£¬ÑÛµ×¼¤¹âÒÇ£¬¼ä½Ó¼ìÑÛ¾µ£¬ÑÛ¿ÆÊÖÊõÏÔ΢¾µµÈ¡£
3 ÑÛ²¿¼²²¡µÄ¶¯ÎïÄ£×Ó
½áĤ×éÖ¯ÔöÉúºÍÐÂѪ¹ÜÔöÉú£¨Conjunctival tissue proliferation and NV£©£»
ÌÇÄò²¡ÐÔÊÓÍøÄ¤²¡±ä (DR)£»
ÂöÂçĤÐÂÉúѪ¹ÜÔöÉú (CNV) ºÍÊÓÍøÄ¤ÏÂÏËά»¯£»
½ÇĤÐÂÉúѪ¹Ü£¨Corneal NV£©£»
ÊÓÍøÄ¤ÐÂÉúѪ¹ÜÔöÉú£»
¼±ÐÔÑÛ²¿Ñ×֢ģ×Ó£»
¸ÉÑÛÖ¢£»
......
×ðÁú¿Ê±ÁÙ´²Ç°ÑÛ¿ÆÑо¿Æ½Ì¨½Ó´ýÁÐλµÄ´¹Ñ¯£¬»ñÈ¡¸ü¶àÐÅÏ¢Ç룺
Öµç +021-58591500
»ò»á¼û¹ÙÍø www.medicilon.com.cn¡£

·ÖÏíµ½£º